17.12.2025 16:48
17.12.2025 12:35
Na plzeňské radnici složili slib noví strážníci městské policie - FOTKY
16.12.2025 11:12
Na náměstí Republiky se bude rozlévat vánoční polévka
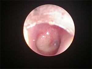
ORL potíže u dětí: Co rodiče často podceňují a proč se vyplatí přijít včas k lékaři
Rýma, bolest ucha, horečka nebo podezření, že dítě hůře slyší. ORL obtíže patří k nejčastějším zdravotním problémům dětského věku a dokážou potrápit nejen malé pacienty, ale i jejich rodiče. Jak poznat, kdy už nejde jen o běžné nachlazení, co funguje jako prevence a kdy je na místě vyhledat odborníka? Odpovídá přednosta ORL kliniky Fakultní nemocnice Plzeň doc. MUDr. David Slouka, Ph.D., MBA.
Téměř každý rodič zná situaci, kdy dítě začne smrkat, přidá se kašel, zvýšená teplota a během noci se objeví silná bolest ucha. Zánět středního ucha (otitida) patří k nejčastějším dětským onemocněním – alespoň jednou ho prodělají tři ze čtyř předškolních dětí.
Velká část akutních zánětů má virový původ a často souvisí s běžnými infekcemi horních cest dýchacích. „Laicky lze říci, že při zánětu středního ucha dochází k přenosu infekce z horních cest dýchacích do oblasti středního ucha. Kvůli neprůchodnosti Eustachovy trubice se zde začne hromadit zánětlivá tekutina, která tlačí na ušní bubínek. U dětí je Eustachova trubice kratší, širší a uložena více horizontálně než u dospělých, a infekce se tak do středouší dostává snáze,“ vysvětluje doc. MUDr. David Slouka, Ph.D., MBA, přednosta ORL kliniky FN Plzeň.
Jen na ORL klinice Fakultní nemocnice Plzeň je s touto diagnózou každoročně ošetřeno přibližně 3 000 dětských pacientů.
Jak poznat, že dítě hůře slyší?
Jedním z častých důsledků opakovaných zánětů středního ucha může být přechodná, ale někdy i trvalejší porucha sluchu. U malých dětí přitom nemusí být zhoršení sluchu na první pohled zřejmé.
„Jednoduchý orientační test si mohou rodiče vyzkoušet i doma. Dítě stojí bokem v tiché místnosti, zakryje si jedno ucho a rodič na něj ze vzdálenosti pěti až šesti metrů šeptá slova, která dítě opakuje nahlas. Ideální je pojmout to formou hry. Pokud dítě nerozumí, je vhodné objednat se na ORL vyšetření,“ doporučuje doc. MUDr. David Slouka, Ph.D., MBA.
Zánět středního ucha nemusí mít vždy dramatický průběh s vysokou horečkou a výraznou bolestí. Existují i méně nápadné formy, které mohou rodiče snadno přehlédnout.
„Zánět může mít podobu akutní, protrahovanou, chronickou nebo recidivující. U některých dětí se projeví pouze zhoršeným sluchem nebo opakovaným výtokem z ucha bez výrazné bolesti. Právě přetrvávající nedoslýchavost či opakované výtoky jsou jasným signálem, že je potřeba vyhledat ORL specialistu,“ upozorňuje přednosta kliniky.

Co opravdu pomáhá při léčbě?
V počátečních stadiích se akutní zánět středního ucha obvykle léčí konzervativně. „Základem jsou nosní kapky, léky proti bolesti a na snížení teploty a studený obklad za ucho. Teplý obklad naopak nedoporučujeme, protože může zánět zhoršit,“ zdůrazňuje doc. MUDr. David Slouka, Ph.D., MBA.
Pokud se za bubínkem vytvoří hnis a dojde k jeho vyklenutí, může být nutná paracentéza – drobný chirurgický zákrok, který dítěti rychle uleví od bolesti.

„Ve FN Plzeň se vyhýbáme paušálnímu podávání antibiotik u akutních zánětů středního ucha, s výjimkou dětí do dvou let. Vždy pečlivě zvažujeme jejich skutečnou potřebu,“ doplňuje přednosta ORL kliniky Fakultní nemocnice Plzeň.
Prevence? Překvapivě jednoduchá
Rodiče se často ptají, zda lze zánětům středního ucha předcházet. „Jediná prokázaná prevence spočívá ve správné léčbě rýmy. Používat nosní kapky a dítě učit dobře smrkat. Podpora imunity vitaminy samozřejmě neuškodí,“ říká doc. MUDr. David Slouka, Ph.D., MBA.
Důležitou roli hraje také správná hygiena uší. „Uši bychom si měli čistit jen tak, aby ušní maz nebyl viditelný zvenčí, tedy pouze ve vchodu zvukovodu. Vatové tyčinky nejsou zakázané, ale nesmí se zasouvat hluboko do zvukovodu, kde už hrozí poranění kůže nebo bubínku,“ upozorňuje přednosta ORL kliniky.
Proč řešit potíže včas?
Neléčený nebo opakovaný zánět středního ucha může přejít do chronického stádia a vést k závažným komplikacím – například k rozšíření zánětu do spánkové kosti, poruchám sluchu, postižení rovnovážného ústrojí nebo v krajním případě až k šíření infekce do nitrolebí.
Nejčastějším následkem zánětů středního ucha u dětí bývá právě porucha sluchu, která může negativně ovlivnit jejich psychomotorický vývoj, školní prospěch i běžné každodenní fungování.
ORL klinika FN Plzeň je jediným pracovištěm v západočeském regionu, které se systematicky věnuje nejen běžné ORL péči, ale také chirurgii středního ucha a rekonstrukčním operacím vedoucím ke zlepšení sluchu. Rodiče zde najdou špičkovou odbornost i individuální a citlivý přístup k dětským pacientům.
„Včasná a správná diagnostika, adekvátní léčba a dobrá spolupráce s rodiči jsou nejlepší prevencí komplikací, které mohou záněty středního ucha provázet,“ uzavírá doc. MUDr. David Slouka, Ph.D., MBA.

Foto ilustrační FN Plzeň
